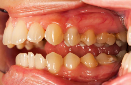
Gum disease remains a major concern and cause of tooth loss in the U.S., with rates highest in New York and North Carolina, according to a study recently published in the Journal of the American Dental Association.
In contrast, Wisconsin and Iowa showed the lowest rates. Also, the burden of periodontitis disease was uneven across groups, with men and adults ages 50 to 64 experiencing the highest levels, the authors wrote.
“The burden of severe periodontitis remains a public health concern, emphasizing the need for targeted interventions in high-risk populations and regions,” wrote the authors, led by Yuyang Wang of Zhejiang Chinese Medical University in Hangzhou, China (JADA, November 18, 2025).
To examine the burden of severe periodontitis in the U.S., data from the Institute for Health Metrics and Evaluation’s Global Burden of Disease (GBD) were used to focus on differences by sex, age, and state. The data analyzed trends from 1990 to 2021 and defined severe periodontitis using GBD criteria, including advanced attachment loss and deep probing depths, according to the study.
Researchers used an age-period-cohort model to forecast future trends by accounting for the combined effects of age, time, and birth cohort. The model was applied to project changes in the age-standardized incidence (ASIR) and age-standardized prevalence rate (ASPR) of severe periodontitis. To determine states with the highest and fastest-growing burdens, the study included a hierarchical cluster analysis.
State-level variation was significant, with the highest ASIR in New York (1,089.6 per 100,000; 95% confidence interval [CI], 914.54 to 1,288.08) and North Carolina (983.68 per 100,000; 95% CI, 785.04 to 1,170.15). Conversely, the lowest ASIR was in Wisconsin (967.22 per 100,000; 95% CI, 693.78 to 1,310.53) and Iowa (748.67 per 100,000; 95% CI, 496.53 to 1,055.54), the authors wrote.
Additionally, ASPR patterns were similar, with the highest rates in New York (12,122.96 per 100,000; 95% CI, 9,471.84 to 15,158.39) and North Carolina (10,054.15 per 100,000; 95% CI, 7,559.11 to 12,545.18) and the lowest in Wisconsin (6,662.65 per 100,000; 95% CI, 4,235.45 to 10,123.17) and Iowa (7,395.46 per 100,000; 95% CI, 4,392.64 to 11,292.77).
Furthermore, adults ages 50 to 64 had the highest incidence and prevalence of severe periodontitis. Incidence and prevalence rates were also notably higher in 2021 than in 1990 among adults 45 and older, showing that middle-aged and older populations are increasingly affected. Men had a higher prevalence across all age groups and a higher incidence than women among those younger than 54 years, they wrote.
The study, however, had limitations. Although the researchers used recent GBD data, a delay in interpreting disease burden trends should be recognized, the authors added.
“We hope these findings will offer valuable insights to policy makers toward the development of more effective disease control measures and prevention strategies to address future health challenges,” Wang and colleagues wrote.
link

